返回列表 发布新帖
查看: 68|回复: 2

“捏捏”玩具博主自曝患癌,曾多次被检出甲醛、增塑剂等超标,还能玩吗?

6

主题

12

金钱

26

积分

新手上路

积分
26
发表于 2025-11-20 22:22:39 | 显示全部楼层 |阅读模式
近两年

一种捏后能回弹的玩具“捏捏”走红

成为年轻人缓解压力的热门选择

然而,近日一位解压“捏捏”玩具博主

自曝患癌的消息

令公众对于“捏捏”玩具

潜在健康风险的担忧进一步加剧



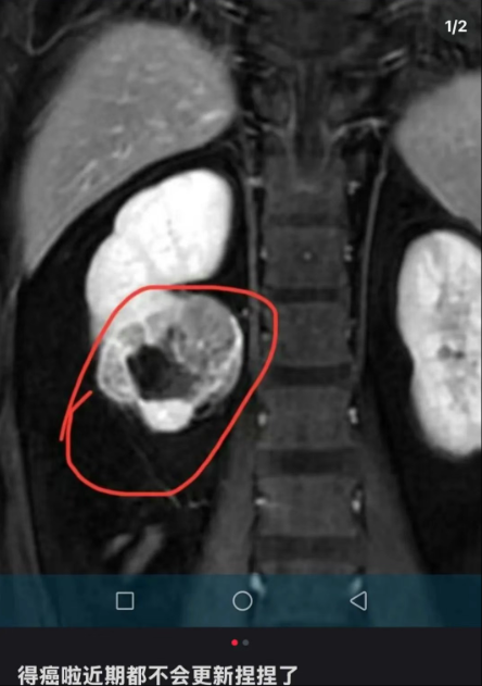
该博主在社交媒体上发文透露自己罹患肾癌,并宣布将暂时停止更新与“捏捏”玩具相关的视频内容。该博主最新更新透露病情:肾脏有部分坏死,即将进行手术。



d1.png
该博主在社交平台宣布罹患癌症。图源其账号截图


据了解,其账号长期以展示捏捏玩具的揉捏过程为主,部分限量款产品曾被炒至上千元高价。

d2.png

虽然该博主在文案中并未提及具体的患癌原因,但在评论区,有网友怀疑其患癌原因与长时间接触“捏捏”有关——“肾癌与二甲苯有关,之前有测评捏捏测出二甲苯”。

网红解压玩具“捏捏”成健康隐忧



“捏捏”最早起源于日本,外形多为食物、动物等可爱的造型,其手感和记忆海绵类似,捏时变形,放手后又会慢慢恢复原状。

d3.jpg

据媒体此前报道,由于部分“捏捏”采用纯手工制作的模式,制作周期长、数量稀缺,因此一些热门版本的“捏捏”被炒到了数百乃至数千元的高价。

目前,在某社交平台上,#捏捏乐#话题的浏览量已经突破52.5亿次;而另一短视频平台上,“捏捏乐”相关的视频播放量则达到了160.6亿次。在一些电商平台上,“捏捏乐”的销量急剧攀升,不少商家的月成交量都在万单以上。

d4.png

曾购买过“捏捏”玩具的葛先生在接受媒体采访时表示,孩子在直播间被“捏捏”玩具可爱的造型吸引,便购买了几款尝试。“刚打开包装就有股刺鼻气味,我还以为是材质问题加之密封包装储存,可能会逐渐消散。”但令葛先生没想到的是,随着孩子不断揉捏,刺鼻气味愈加浓烈,“让人感到不舒服,甚至有些恶心、头晕。”

在一些社交平台上,亦有不少网友反映,收到的“捏捏”玩具玩久了会出现喉咙痛、烂手指等症状。

此前,还有多位卖家因制作“捏捏”导致身体不适而选择闭店。“一捏眼睛就会很疼,还流眼泪,身上也有长一些小红点。”


d5.png

有“捏捏”甲醛超标数十倍



据悉,“捏捏”的制作材料通常为硅胶和色膏,以及聚氨酯(PU)、热塑橡胶(TPR、TPV)、聚氯乙烯(PVC)、热塑性硫化橡胶(TPV)等化学材料。从化学角度来说,许多物质在混合过程中,都不可避免地会产生挥发物。

有媒体报道称一些解压玩具如果使用的TPR材料不合格或者生产过程控制不严格,玩具可能会邻苯超标,也可能因着色剂引入有害物质及其他不符合法规的物质。

而多家机构经过检测发现,“捏捏”玩具普遍存在甲醛和总挥发性有机物(TVOC)超标问题。

广州市消委会2020年委托深圳市计量质量检测研究院对包含“捏捏”在内的37款解压玩具进行测评显示,超七成产品不达标,一些玩具存在增塑剂超标、挥发性有机物和二甲苯释放量过高、菌落总数过多、声响过大等质量问题和安全隐患;河北省产品质量安全检测技术中心2022年也对线上线下购买的30批次“捏捏”样品进行了检测,结果TVOC不合格率达76.7%,二甲苯不合格率则高达83.3%。

d6.png

各类“捏捏”玩具。图源:爸爸评测

知名测评博主“爸爸评测”于2024年8月对这些爆火的捏捏玩具进行了评测,抽检产品中甲醛释放量超标最高达46倍,总挥发性有机物(TVOC)超标最高达50倍。部分产品使用起泡胶、水晶泥等材质,新开封时刺激性气味明显,长期接触可能引发胸闷、头晕等症状。

“爸爸评测”建议消费者,从健康角度出发,在选购“捏捏”类玩具时需慎重,即使购买也最好将外包装更换为食品级尼龙袋并密封,再进行把玩。

更需引起警惕的是,一些低价 “捏捏” 玩具往往采用工业级PVC、劣质硅胶或再生塑料制作,能含有过量塑化剂(如邻苯二甲酸盐)、甲醛、重金属(铅、镉等)。长期接触或被儿童啃咬后,有害物质可能通过皮肤接触或误食进入人体,影响内分泌系统、肝脏功能,甚至对儿童生长发育造成危害。

对此,浙江大学管理学院教授、知名消费者行为学专家王丽丽在接受采访时表示,网络上有很多关于该类产品甲醛超标、TVOC含量超标等讨论,因为“捏捏”玩具类产品的销售渠道非常多,国内鲜有非常有名的生产厂家入局,因此相关的监管可能要进一步加强。


“捏捏”怎样玩才健康?


对于选择“捏捏”产品

建议“一选二看三嗅四关注”

    一选


选择正规渠道购买包装完好的产品。建议选择大型超市、品牌玩具店或官方认证的网店等正规渠道;同时,请主动索要并妥善保管购物凭证。

    二看


查看标签标识和警示说明。购买时应查看产品外包装上是否标注有产品名称、生产厂家、执行标准、主要材质或成分等关键信息,明显位置处是否有警示语标志、说明或安全警示等信息;确认产品的适用年龄与使用者的年龄是否相符。

    三嗅


避免购买具有刺激性气味的“捏捏”解压玩具产品。不少人使用此类玩具多为相对密闭的空间。因此,在使用过程中保持使用环境通风。

    四关注


加强监护和看管。儿童玩耍时,家长需加强看护,防止儿童啃咬或舔舐,在玩耍后要及时洗手。且要严格控制玩耍时间和频次,建议不要过长和过繁。避免让三岁以下的儿童接触此类玩具。


温馨提醒

消费者在购买解压玩具时

要注意辨别其是否安全

你买过“捏捏”吗?

来评论区说说



来源 广州日报、南方日报、深圳新闻网、钱江晚报、消费日报

4

主题

8

金钱

26

积分

新手上路

积分
26
发表于 2025-11-20 22:23:38 | 显示全部楼层
不买这种东西

1

主题

2

金钱

4

积分

新手上路

积分
4
发表于 2025-11-20 22:24:11 | 显示全部楼层
太危险了,建议小朋友不要买。不良商人真的太坏了!
您需要登录后才可以回帖 登录 | 立即注册

本版积分规则

投诉/建议联系

admin@discuz.vip

未经授权禁止转载,复制和建立镜像,
如有违反,追究法律责任
  • 关注公众号
  • 添加微信客服
Copyright © 2001-2026 i粑粑论坛 版权所有 All Rights Reserved. 粤ICP备2021116406号
关灯 快速发帖
扫一扫添加微信客服
返回顶部
快速回复 返回顶部 返回列表